Gental, Relaxing Dental Care

HOURS:
Mon, Tues, Wed, Thurs - 8:30am-5pm
Fri, Sat, Sun - Closed
1924-D Dauphin Island Parkway, Mobile AL 36605

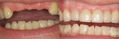
At Dental Solutions, we understand how losing a tooth can have a negative effect on your ability to eat and speak, as well as your self-confidence and the overall aesthetic of your face. To restore your smile and improve your overall dental health and beauty, we are pleased to offer a wide selection of dentures in Mobile, Alabama. Dentures are prosthetic teeth attached to a gum-colored base to replace both the lost gum tissue and teeth. Dr. David Bogan is pleased to offer:
-Full dentures are designed to replace all of the teeth in your upper or lower dental arches, or both. They rest solely on the gums, often with the aid of a denture adhesive.
-Flexible partial dentures – Partial dentures are used when there are some natural teeth still remaining in your smile. Made from flexible nylon, partial dentures fit comfortably in your mouth. Our flexible partial denture of choice is Valplast®.
-Implant-retained dentures – A denture that is permanent, implant-retained dentures are ideal for those who do not want to worry about dentures that will not stay put. Your denture will be locked onto a series of dental implants, placed securely in your jaw.
Dentures have many benefits and we are excited to share these with your family. For more information, contact our dentist today. We hope to hear from you soon!







