Gental, Relaxing Dental Care

HOURS:
Mon, Tues, Wed, Thurs - 8:30am-5pm
Fri, Sat, Sun - Closed
1924-D Dauphin Island Parkway, Mobile AL 36605

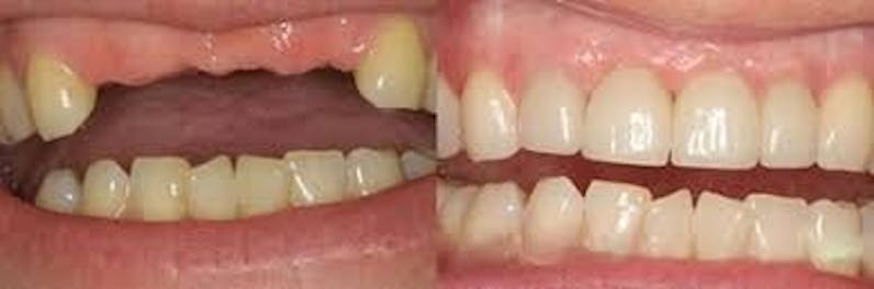
If you have lost one or more teeth from your smile, Dr. David Bogan may suggest you consider a dental bridge in Mobile, Alabama. Dental bridges are permanent (fixed) prosthetic devices that literally bridge the empty gap created by a lost tooth. Most dental bridges are made from two dental crowns and a replacement tooth, which is referred to as a pontic. The dental crowns anchor the pontic in place for a secure, long-lasting restoration. We also have dental bridges available to replace your front teeth.
Using dental bridges as a method to restore your smile not only improves your dental health. It also returns your ability to chew and speak properly, and can boost your self-confidence. Replacing the missing tooth is also important because it prevents your natural teeth from shifting out of place, causing a number of complications. Furthermore, a bridge helps to relieve excess stress on the bite and can be used to replace a removable partial denture. Our dentist would love to meet with you and discuss all of the benefits of dental bridges and how the process will go. To schedule your appointment, we invite you to call us at Dental Solutions today. We look forward to meeting you and your family as we earnestly strive to care for your smile.








